Many patients visit a dental clinic assuming that mouth ulcers, burning gums, or oral discomfort must always be caused by a dental issue. While this can sometimes be true, the reality is that oral symptoms can often be signs of underlying systemic health problems.
As dentists, our role goes beyond just treating teeth. A thorough medical history and clinical examination can often reveal deeper health concerns that manifest in the mouth.
Let me share a recent case from our clinic.


When a Burning Sensation in the Mouth Isn’t a Dental Problem
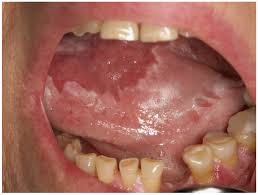
Recently, a patient visited our clinic complaining of an intense burning sensation in her gums throughout the mouth.
During the oral examination, we looked for the usual dental causes such as:
- Gum infections
- Ulcers or lesions
- Tooth decay
- Sharp restorations
- Fungal infections
- Irritation from dental appliances
However, none of these were present.
Clinically, her oral tissues appeared normal.
This is where detailed medical history becomes extremely important in dentistry.
Clues from Medical History
While discussing her symptoms in detail, the patient mentioned a few important points:
- Constant dryness in the mouth
- Drinking plenty of fluids but still feeling dehydrated
- Burning sensation while eating spicy or citrus foods
- No tobacco or mishri habits
- No history of diabetes
At this stage, the symptoms were pointing towards something beyond routine dental causes.
So I explored further.
When asked about other medical issues, she mentioned that she had been under treatment with an orthopaedic doctor for joint-related problems.
That became an important clue.
Why Vitamin Deficiencies Can Cause Burning in the Mouth
Certain nutritional deficiencies are strongly associated with burning mouth symptoms and recurrent mouth ulcers.
These include deficiencies of:
- Vitamin D
- Vitamin B12
- Iron
- Folic acid
These nutrients are essential for healthy mucosal tissue, nerve function, and immune response in the oral cavity.
A deficiency can lead to symptoms such as:
- Burning sensation in the mouth
- Recurrent mouth ulcers
- Tongue soreness
- Dry mouth
- Altered taste sensation
Based on her symptoms and medical history, I advised the patient to get her Vitamin D and Vitamin B12 levels tested.
The Diagnosis: A Deeper Medical Cause
Her reports showed that her Vitamin D levels were extremely low.
She was then referred to a general physician for further evaluation.
Additional blood investigations revealed:
- Low iron levels
- Reduced RBC count
- Signs suggestive of nutritional deficiency anemia
What initially appeared to be a dental complaint of burning gums was actually a systemic nutritional deficiency affecting oral tissues.
After starting the appropriate medical treatment and supplements under physician guidance, her oral burning symptoms gradually improved.
The Oral Cavity Often Reflects Overall Health
This case highlights an important fact:
The mouth is often a mirror of the body’s overall health.
Symptoms like:
- Persistent mouth ulcers
- Burning sensation in gums or tongue
- Dry mouth
- Tongue discoloration
- Recurrent oral infections
may sometimes indicate underlying nutritional deficiencies, systemic diseases, or medication side effects.
That is why a responsible dentist will always take a comprehensive medical history before arriving at a diagnosis.
Why Medical History is Crucial in Dental Diagnosis
Good dental care is not just about treating teeth. It is about understanding the patient as a whole.
A proper diagnosis often requires:
- Detailed medical history
- Understanding current medications
- Evaluating systemic health conditions
- Correlating clinical findings with patient symptoms
- When needed, referral to medical specialists
Jumping directly to treatment without understanding the root cause may only provide temporary relief without solving the real problem.
When Should You See a Dentist for Burning Mouth or Ulcers?
You should consult a dentist if you experience:
- Mouth ulcers lasting more than 10–14 days
- Persistent burning sensation in the mouth
- Dry mouth with irritation
- Difficulty eating spicy or acidic foods
- Recurrent oral discomfort without obvious cause
Early evaluation can help identify whether the problem is dental, nutritional, or systemic.
Expert Dental Care in Malad, Mumbai
At our dental clinic in Malad, Mumbai, we focus on comprehensive diagnosis rather than quick fixes. By combining clinical examination, radiographic analysis, and detailed medical history, we aim to identify the true cause of oral health problems.
If you are experiencing mouth ulcers, burning gums, or unexplained oral discomfort, a professional evaluation can help determine the underlying cause and guide the right treatment.
